Topic Overview

The digestive system

What are the gallbladder and gallstones?

The gallbladder is a small sac found just under the liver. It stores bile made by the liver. Bile helps you digest fats. Bile moves from the gallbladder to the small intestine through tubes called the cystic duct and common bile duct.

Gallstones are made from cholesterol and other things found in the bile. They can be smaller than a grain of sand or as large as a golf ball.

Most gallstones do not cause problems. But if they block a duct, they usually need treatment.

What causes gallstones?

Gallstones form when cholesterol and other things found in bile make stones. They can also form if the gallbladder does not empty as it should. People who are overweight or who are trying to lose weight quickly are more likely to get gallstones.

What are the symptoms?

Most people who have gallstones do not have symptoms.

If you have symptoms, you most likely will have mild pain in the pit of your stomach or in the upper right part of your belly. Pain may spread to your right upper back or shoulder blade area. Sometimes the pain is more severe. It may be steady, or it may come and go. Or it may get worse when you eat.

When gallstones keep blocking a bile duct, you may have pain with fever and chills. Or your skin or the whites of your eyes may turn yellow. Call your doctor right away. Having stones in your bile duct increases your chance of having a swollen pancreas (pancreatitis). These symptoms may also be a sign of an infected gallbladder.

Call your doctor right away if you have sudden or bad pain in your belly or chest and you are not sure what is causing it. Symptoms of gallstones may feel like chest pain caused by a heart attack or other serious problems.

How are gallstones diagnosed?

You may decide to go to the doctor because of pain in your belly. In this case, your doctor will ask you questions about when the pain started, where it is, and if it comes and goes or is always there. Your doctor may order imaging tests. These take pictures of the inside of your body. An ultrasound of the belly is the best test to find gallstones. This test does not hurt.

Your ultrasound may not show gallstones. But if your doctor still thinks you have a problem with your gallbladder, he or she may order a gallbladder scan. In this test, a doctor injects dye into a vein in your arm. Then a machine takes X-rays as the dye moves through your liver, bile duct, gallbladder, and intestine.

Most people have gallstones but don't know it because they do not have symptoms. Gallstones may be found by accident when you have tests for other health problems or when a woman has an ultrasound during pregnancy.

How are they treated?

If you do not have symptoms, you probably do not need treatment.

If your first gallstone attack causes mild pain, your doctor may tell you to take pain medicine and wait to see if the pain goes away. You may never have another attack. Waiting to see what happens usually will not cause problems.

If you have a bad attack, or if you have a second attack, you may want to have your gallbladder removed. A second attack means you are more likely to have future attacks.

Many people have their gallbladders removed, and the surgery usually goes well. Doctors most often use laparoscopic surgery. For this, your surgeon will make small cuts in your belly and remove your gallbladder. You will probably be able to go back to work or your normal routine in a week or two, but it may take longer for some people. Sometimes the surgeon will have to make a larger cut to remove the gallbladder. It will take longer for you to recover from this type of surgery.

Do you need your gallbladder?

Your body will work fine without a gallbladder. Bile will flow straight from the liver to the intestine. There may be small changes in how you digest food, but you probably will not notice them.

Frequently Asked Questions

Learning about gallstones:

Being diagnosed:

Getting treatment:

Living with gallstones:

Health Tools

Health Tools help you make wise health decisions or take action to improve your health.

Decision Points focus on key medical care decisions that are important to many health problems.

Cause

Gallstones develop when cholesterol and other substances in the bile form crystals that become hard stones in the gallbladder. The gallbladder is a small sac located just under the liver. Gallstones can occur when your gallbladder does not empty properly or if you have too much cholesterol in your bile. Too much cholesterol in your bile is not caused by eating too much cholesterol or having high cholesterol (in the blood).

Most doctors believe that even microscopic gallstones in the gallbladder can cause symptoms. These tiny stones can form a type of sediment called biliary sludge that often can be seen on an abdominal ultrasound. For more information on an abdominal ultrasound, see the Exams and Tests section of this topic.

Symptoms

The most common symptom of gallstones is pain in the stomach area or in the upper right part of the belly, under the ribs.

The pain may:

  • Start suddenly in the center of the upper belly (epigastric area) and spread to the right upper back or shoulder blade area. It is usually hard to get comfortable. Moving around does not make the pain go away.
  • Prevent you from taking normal or deep breaths.
  • Last 15 minutes to 24 hours. Continuous pain for 1 to 5 hours is common.
  • Begin at night and be severe enough to wake you.
  • Occur after meals.

Gallstone pain can cause vomiting, which may relieve some of the belly (abdominal) pain and pressure. Pain that occurs with a fever, nausea, and vomiting or loss of appetite may be a sign of inflammation or infection of the gallbladder (acute cholecystitis). Symptoms that may mean that a gallstone is blocking the common bile duct include:

  • Yellowing of the skin and the white part of the eyes (jaundice).
  • Dark urine.
  • Light-colored stools.
  • A fever and chills.

There are many other conditions that cause similar symptoms, including heartburn, pain caused by a heart attack, and liver problems. Stomach flu (gastroenteritis) and food poisoning also can cause symptoms similar to gallstones. Diarrhea and vomiting occur with the flu and food poisoning, but the pain tends to come and go rather than be constant. Also, pain with these conditions may be felt all over the belly, rather than in one spot.

Belly pain that comes and goes (rather than being constant) and that occurs with nausea and vomiting and possibly a mild fever is more likely to be caused by stomach flu or food poisoning than by gallstones. This is especially true if others around you are sick with similar symptoms.

What Happens

The progression of gallstones depends on whether you have symptoms. Most people with gallstones have no symptoms and do not need treatment. Those who do have symptoms often have surgery to remove the gallbladder.

Gallstones that do not cause symptoms

Most people who have gallstones never have symptoms. Most people with gallstones that do not cause symptoms remain free of symptoms.

Gallstones that cause symptoms

The most common problem caused by gallstones occurs when a gallstone periodically blocks the cystic duct, which drains the gallbladder. It often causes bouts of pain that come and go as the gallbladder contracts and expands. The bouts of pain are usually severe and steady, lasting from 15 minutes to up to 6 hours. And the pain may get worse after a meal. Symptoms usually improve within a few days.

If this is your first attack of gallbladder symptoms, your best option may be to see whether the pain goes away without surgery. But if the pain is severe or if you have had gallbladder pain before, you may need to have your gallbladder removed.

Depending on where a stone blocks the flow of bile, symptoms can include nausea, vomiting, fever, and severe abdominal pain that lasts longer than 6 hours. If you have these symptoms, you may need surgery to remove your gallbladder or the gallstone causing the blockage.

In rare cases, gallstones can cause pancreatitis, an inflammation of the pancreas. Gallstones back up the flow of digestive enzymes made by the pancreas. Pancreatitis may cause sudden, severe abdominal pain, loss of appetite, nausea and vomiting, and fever.

Do you need surgery or other treatment for your gallstones?

The first attack of gallstone symptoms is often not severe. Serious complications (such as a blocked duct) rarely occur. So you and your doctor may decide to delay treatment to see whether symptoms go away on their own. This is especially true if your doctor is not sure that the symptoms were caused by gallstones. Sometimes surgery for gallstone problems is needed right away. But in most cases, it appears safe to delay treatment until you have a second episode of pain. If you have two attacks, you are likely to have more attacks in the future. In that case, surgery to remove the gallbladder is usually the best option.

People who have gallstone symptoms are at higher risk of having future pain and problems than those who do not have symptoms. It is not possible to predict how often the pain may come back or how severe it might be. Many people who decide not to have treatment do not have future problems. About 1 out of 3 people with a single attack of pain has no other episode of pain.footnote 1

Gallstones: Should I Have Gallbladder Surgery?

What Increases Your Risk

Your chances of forming gallstones that can cause symptoms are higher if you:

  • Are female. Females are twice as likely as males to have gallstones.
  • Are older than 55.
  • Are Native American or Mexican-American.
  • Have a family history of gallstones.

You may also be increasing your risk for gallstones if you:

  • Are overweight.
  • Lose weight rapidly or lose weight by dieting and then gain weight back again.
  • Are pregnant.
  • Are taking estrogen (after menopause) or high-dose birth control pills.
  • Get very little or no exercise.
  • Do not eat for a period of time (fast).

When To Call a Doctor

Abdominal pain can be a sign of a serious or even life-threatening condition, especially if you have a heart condition or are older than 60. If you are having sudden or severe pain and are not sure what is causing it, you may need immediate medical treatment. You should be especially concerned if you are having trouble breathing or you faint or lose consciousness. For more information, see the topic Abdominal Pain, Age 12 and Older. For more information on abdominal pain in children, see the topic Abdominal Pain, Age 11 and Younger.

Call your doctor immediately if you have:

  • Pain that may be caused by gallstones (continuous moderate to severe pain in the upper right abdomen) along with a fever of 100.4°F (38°C) or higher and chills that are clearly not caused by stomach flu or any other reason.
  • Pain in the upper midsection or upper right abdomen, along with a yellow tint to your skin and the white part of your eyes, dark yellow-brown urine, or light-colored stools.
  • Diabetes or an impaired immune system and you have symptoms that may be caused by gallstones.

If you have symptoms of gallstones but no fever, chills, or yellowing of your skin or the white part of your eyes, you may still require evaluation and treatment. Schedule an appointment with your doctor.

Watchful waiting

Watchful waiting is a period of time during which you and your doctor watch your symptoms or condition to see whether you need treatment. Watchful waiting is often the first approach to a first attack of gallstone pain.

Who to see

Symptoms caused by gallstones can be evaluated by any of the following health professionals:

To prepare for your appointment, see the topic Making the Most of Your Appointment.

Exams and Tests

Gallstones may be found during tests that evaluate abdominal pain or during tests for another condition, such as an ultrasound test during pregnancy. The doctor will ask questions about your medical history and your symptoms. And he or she will do a physical exam. Although your medical history and physical exam may suggest that you have gallstones, other tests can confirm the diagnosis.

Tests for gallstones

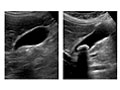
  • Abdominal ultrasound. An abdominal ultrasound is the best test to confirm gallstones. In this test, a technologist moves a wand across your belly to create pictures on a video monitor. This test may reveal other problems with the gallbladder or bile ducts. An ultrasound image of a gallstone often is the only test needed to find and evaluate gallstones.
  • Gallbladder scan. If your gallbladder looks normal on an abdominal ultrasound, but your doctor still thinks that you may have a problem, your doctor may request a gallbladder scan. In this test, a doctor injects a special radioactive dye into a vein in your arm and takes pictures to see whether the gallbladder is working normally. This test can also reveal other problems, such as blocked bile ducts (bile ducts are tubes attached to your gallbladder).
  • Endoscopic retrograde cholangiopancreatogram (ERCP). This test is used if your doctor thinks that you may have a gallstone in one of the ducts that connect your liver with your gallbladder, pancreas, and small intestine. In an ERCP, a doctor gently moves a flexible, lighted viewing instrument called an endoscope down the throat and through your stomach to examine the tubes that drain your liver, gallbladder, and pancreas. If a gallstone is blocking your common bile duct, the doctor can sometimes remove the stone with instruments inserted through the endoscope.

Blood tests

Blood tests. Tests such as a complete blood count and tests for liver function and pancreatitis can help a doctor evaluate symptoms of abdominal pain that may be caused by gallstones. The tests may be able to detect whether your symptoms are being caused by a condition other than gallstones.

Other tests

  • Endoscopic ultrasound (EUS). This test can be used to see gallstones in the common bile duct. A doctor gently moves a thin, flexible, lighted viewing instrument (endoscope) with an ultrasound probe down the throat and through your stomach to examine the tubes that drain the liver, gallbladder, and pancreas.
  • Magnetic resonance cholangiogram (MRC). This test uses a magnetic field and pulses of radio wave energy (MRI) to provide pictures of organs and structures inside the belly. Doctors can use an MRC to locate gallstones before surgery to remove the gallbladder or to detect problems with the bile duct or gallbladder.

Treatment Overview

If gallstones don't cause pain or other symptoms, you most likely will not need treatment. In rare cases, doctors may advise surgery for gallstones that don't cause symptoms.

If gallstones do cause symptoms, you and your doctor may decide that your best choice is to see whether symptoms go away on their own (watchful waiting). It is usually safe to wait until you have had another attack before you consider having surgery. Watchful waiting may be the best choice if:

  • This is your first episode of gallstone pain.
  • Gallstone pain is mild. If your gallstones cause severe pain, surgery may be considered to prevent future attacks and possible complications.
  • You do not have complications, such as a blocked duct.
  • You are not at high risk for future problems.

If you need treatment for gallstones, in most cases the best treatment is surgery to remove the gallbladder (cholecystectomy). In many cases, laparoscopic surgery is the best method to remove the gallbladder. Open surgery requires a longer recovery period and causes more pain because it creates a larger incision.

Your doctor can help you assess the severity of your gallstone attacks and can help you decide whether you should have surgery or other treatment.

Gallstones: Should I Have Gallbladder Surgery?

Prevention

There is no sure way to prevent gallstones. But you can reduce your risk of forming gallstones that can cause symptoms.

Maintain a healthy weight

Stay close to a healthy weight. If you need to lose weight, do so slowly and sensibly. When you lose weight by dieting and then you gain weight back again, you increase your risk for gallstones, especially if you are a woman. If you diet, aim for a weight loss of only 1 lb (0.5 kg) to 1.5 lb (0.7 kg) a week. For more information, see the topic Weight Management.

Eat regular, balanced meals

Try not to skip meals. Eat on a regular schedule. And eat meals that contain some fat (which causes the gallbladder to empty). This can help prevent gallstones. Eat plenty of whole grains and fiber. And be sure to often have servings of foods that contain calcium (milk products and green, leafy vegetables). Limit saturated (animal) fat.

Exercise regularly

If you exercise more, you may be able to reduce your risk for gallstones. Along with eating a healthy diet, exercise is an effective way to help you stay close to a healthy weight and lower your cholesterol and triglyceride levels.

Deciding whether to take estrogen

Some evidence shows that taking hormones such as estrogen after menopause or taking high-dose birth control pills may increase a woman's risk of gallstones that cause symptoms. If you are taking such hormones, talk with your doctor.

Home Treatment

There is no specific home treatment for gallstones, but be sure to call your doctor if:

  • You think you have symptoms that may be caused by gallstones. If your doctor finds that you do have gallstones but your symptoms are mild, it is generally safe to wait until you have more than one attack before you consider having surgery.
  • You develop symptoms of a gallstone attack again, especially if they are severe or occur with fever, chills, or yellowing of your skin or the white part of your eyes.
  • You have new belly pain or other belly symptoms. Pain in the belly can be a symptom of many health problems.

You may be able to help prevent gallstones if:

  • You stay close to a healthy weight by eating a balanced diet and getting regular exercise.
  • You avoid rapid weight loss. Intentional weight loss (dieting, as opposed to weight loss from illness) followed by weight gain may increase your risk of gallstones, especially if you are a woman. If you need to lose weight, do so slowly and sensibly.

If you have recently had surgery to remove your gallbladder:

  • Watch for signs of infection. Call your doctor if the area around the incision is red and puffy or if you have a fever.
  • Call your doctor if you have yellowing of the skin or the white part of the eyes (jaundice), light-colored stools, and dark urine. These symptoms may be signs that gallstones are blocking the common bile duct.

Medications

Medicines are rarely used to treat gallstones.

Medicine choices

Bile acids can be used to dissolve gallstones. They usually are reserved for people who have symptoms of gallstones and for whom surgery would be risky.

What to think about

Gallstones often come back when treatment with bile acids is stopped. Over time, gallstones return in about half of those who stop taking the medicine.footnote 2

This form of treatment works better on small gallstones than on large ones. It does not work on calcified gallstones. Tests such as an abdominal X-ray may be used to find out whether gallstones contain calcium.

Surgery

Surgery to remove the gallbladder (cholecystectomy) is the treatment of choice for gallstones that cause moderate to severe pain or other symptoms. Symptoms usually do not return after the gallbladder has been removed. In a small number of cases, surgery may be done to prevent complications of gallstones.

Laparoscopic surgery is often the best method to remove the gallbladder. Open gallbladder surgery requires a longer recovery period and causes more pain.

Surgery may be done for:

Gallstones: Should I Have Gallbladder Surgery?

Surgery choices

Laparoscopic gallbladder surgery is the most common surgery done to remove the gallbladder. In this type of surgery, a doctor inserts a lighted viewing instrument called a laparoscope and surgical tools into your abdomen through several small cuts (incisions). This type of surgery is very safe, and people who have it usually recover enough in about one week to go back to work or to their normal routines.

Open gallbladder surgery involves one larger incision through which the gallbladder is removed. It may be done if laparoscopic surgery is not an option or when complications are found during laparoscopic surgery. Most open surgeries occur after trying to do a laparoscopic cholecystectomy. Open surgery also may be the best choice if the blood won't clot well, the anatomy is not normal, or there is too much scarring from previous surgery.

Other Treatment

Other treatment options for gallstones are not widely available. Less is known about their effectiveness and long-term impact compared with surgery.

Other treatment choices

Other treatments for gallstones in the common bile duct include:

  • Endoscopic retrograde cholangiopancreatogram (ERCP) with endoscopic sphincterotomy. In an ERCP, a doctor gently moves a flexible, lighted viewing instrument (endoscope) down your throat and through your stomach to examine the tubes that drain your liver and gallbladder. If you have a gallstone in the common bile duct, the gallstone can sometimes be removed through the endoscope.

Other treatments for gallstones in the gallbladder include:

  • Lithotripsy. This procedure uses ultrasound waves to break up gallstones. It may be used alone or along with bile acids to break up stones. The procedure, which is now rarely performed, has been used for people who have long-term (chronic) inflammation of the gallbladder (cholecystitis) and who are not strong enough for surgery. But it is not appropriate in treating sudden (acute) cholecystitis.
  • Contact dissolution therapy. This treatment uses a thin, flexible tube called a catheter to place a chemical in the gallbladder to dissolve gallstones. This therapy is rarely used because of the risk of complications. And unlike with surgery, gallstones may return.
  • Percutaneous cholecystostomy. This procedure may provide temporary relief for an inflamed gallbladder until an endoscopic retrograde cholangiopancreatogram (ERCP) or surgery can be performed. During percutaneous cholecystostomy, a doctor places a tube through the abdomen and into the gallbladder to drain its contents. This sometimes is done for people who are not strong enough for surgery.

Other Places To Get Help

Organization

National Institute of Diabetes and Digestive and Kidney Diseases (NIDDK) (U.S.)
www.niddk.nih.gov

References

Citations

  1. Wang DQH, Afdhal NH (2010). Gallstone disease. In M Feldman et al., eds., Sleisenger and Fordtran's Gastrointestinal and Liver Disease, 9th ed., vol. 1 , pp. 1089-1120. Philadelphia: Saunders.
  2. Huang CS, Lichtenstein DR (2006). Biliary tract stones. In MM Wolfe et al., eds., Therapy of Digestive Disorders, 2nd ed., pp. 395-408. Philadelphia: Saunders Elsevier.

Other Works Consulted

  • Sanders G, Kingsnorth AN (2007). Gallstones. BMJ, 335(7614): 295-299.
  • Society of American Gastrointestinal and Endoscopic Surgeons (2010). SAGES guidelines for the clinical application of laparoscopic biliary tract surgery. Available online: http://www.sages.org/publication/id/06/.

Credits

ByHealthwise Staff

Primary Medical ReviewerE. Gregory Thompson, MD - Internal Medicine

Adam Husney, MD - Family Medicine

Kathleen Romito, MD - Family Medicine

Specialist Medical ReviewerArvydas D. Vanagunas, MD - Gastroenterology

Current as ofMay 5, 2017